What is an epiretinal membrane?
Epiretinal membrane can also be known by other names: macular pucker, pre-retinal membrane, cellophane maculopathy, surface wrinkling retinopathy, and pre-macular fibrosis.
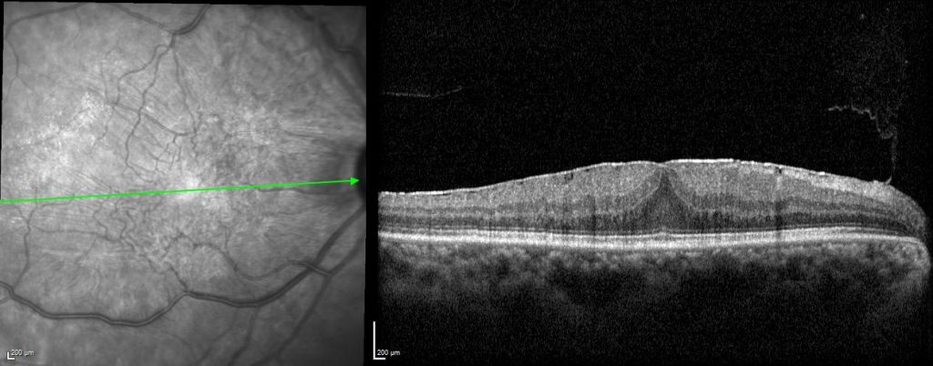
An epiretinal membrane is a thin layer of tissue that has formed on the retina. This then causes wrinkling of the retina. If this tissue is over the macula, it can lead to blurred and distorted central vision.
Epiretinal membranes typically form after a posterior vitreous detachment (PVD). A PVD occurs when the vitreous pulls away from the retina. The vitreous is a jelly-like substance in the eye that helps it maintain a round shape. This happens during the natural ageing process, but can also occur after surgery or inflammation of the eye.

What are the symptoms of epiretinal membrane?
Vision loss from epiretinal membrane (macular pucker) can vary from no loss to severe loss, although severe vision loss is uncommon. If you have epiretinal membrane, you may notice your vision is blurry or mildly distorted. Straight lines can appear wavy. You may also have difficulty in seeing fine detail and reading small print.
How is epiretinal membrane (macular pucker) treated?
In many cases of epiretinal membrane, the symptoms of vision distortion and blurriness are mild, so no treatment is necessary.
People usually adjust to the mild visual distortion as it does not significantly affect daily activities, such as reading and driving.
Eye drops, medications and nutritional supplements are unlikely to improve distorted vision from an epiretinal membrane.
Sometimes, vision deteriorates to the point where it affects daily activities. When this happens, your ophthalmologist may recommend surgery. The epiretinal membrane is unlikely to resolve without surgery, but it can be done as a non-urgent procedure.
The surgery involves a vitrectomy. This is where the vitreous is removed from the eye and the epiretinal membrane is peeled away. This is usually performed under local anaesthesia. It’s best to discuss the option of surgery with your ophthalmologist.
Download the publication today.
DownloadManaging vision loss
Fortunately, it is very uncommon to have severe vision loss from epiretinal membrane.
However, if you do experience significant vision loss, a key priority is maintaining quality of life and independence. That’s where Macular Disease Foundation Australia can help, with information and advice on living well with vision loss.