Classifying age-related macular degeneration
Some people think that there are only two types of AMD, wet or dry. However, the disease is actually more complex that that. It is classified into three stages. These are early, intermediate and late AMD. Late AMD can be either wet (neovascular) AMD or dry (atrophic) AMD.
Early and intermediate AMD
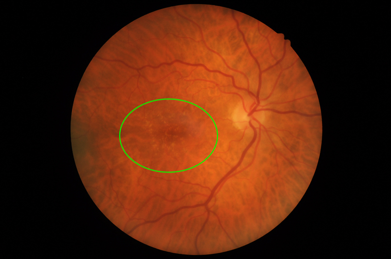
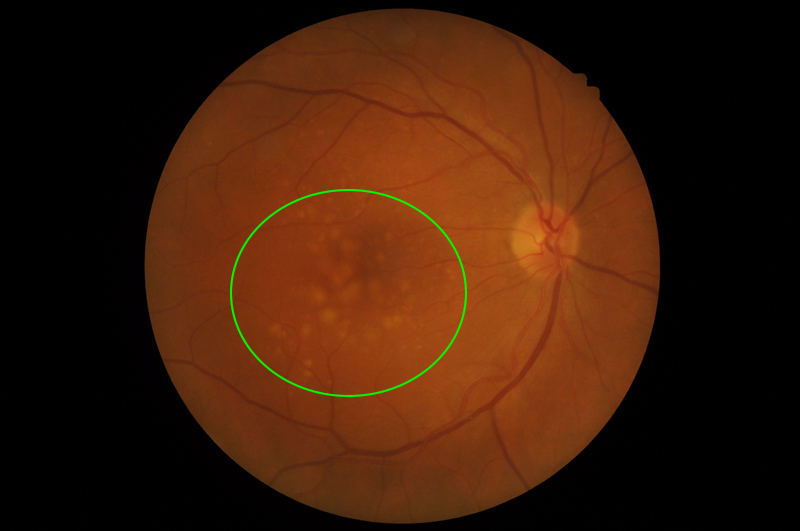
Early and intermediate stages of age-related macular degeneration occur when there is a build up of waste material (drusen) under the retina.
Typically, with early AMD, you will notice little or no impact on your vision.
With intermediate AMD, the drusen will be larger and you may notice some changes to your central vision, but progression is slow. In fact, progression to late AMD may or may not occur.
Most people with AMD are in the early and intermediate stages.


Late AMD
Late AMD is the vision-threatening stage and is divided into dry (atrophic) AMD and wet (neovascular) AMD.
Dry (atrophic) AMD
Dry (atrophic) AMD is also known as geographic atrophy. It occurs when retinal cells gradually die (atrophy), leading to patches of missing retina and loss of central vision. Dry AMD accounts for around one third of all cases of late-stage age-related macular degeneration.
Some people with dry (atrophic) AMD may go on to develop the wet (neovascular) form of AMD.

Wet (neovascular) AMD
Wet (neovascular) AMD is the most aggressive form of AMD. With wet AMD, central vision changes are often sudden and severe. Every year approximately 21,000 new cases are diagnosed in Australia.
In wet (neovascular) AMD, abnormal blood vessels grow underneath the retina. These new vessels (‘neovascular’ means new vessels) are fragile and can leak fluid and blood, which may damage the macula. It often leads to a rapid loss of central vision.

It’s possible to have AMD in only one eye, or for each eye to be in different stages of AMD.
It’s also possible to have both dry (atrophic) AMD and wet (neovascular) AMD in the same eye.
If you’re not sure what stage of AMD you’re in, you should ask your eye health professional – an optometrist, ophthalmologist or orthoptist.
MDFA’s National Helpline staff can also help you understand more about the stages of AMD on 1800 111 709.